Predicting functional recovery of comatose patients after cardiac arrest
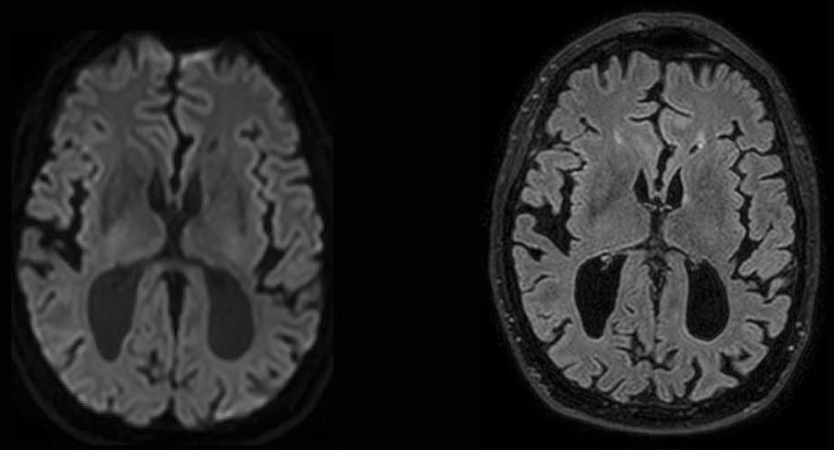
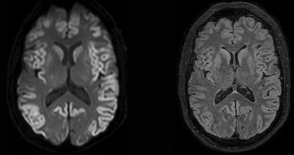
Comatose patients after cardiac arrest have an uncertain prognosis. In about half of all, hypoxic brain damage precludes recovery of consciousness. Early predictors of functional recovery can prevent futile continuation of intensive care treatment. With the current recommended predictors, including neurological examination, EEG, SSEP, and NSE blood levels, a reliable prognosis is possible in about half of all patients. New, complementary predictors are needed.
The Cracking Coma study is a longitudinal multicenter cohort study to establish the additional predictive value of various MRI techniques and derive multimodal prediction models to optimize outcome prediction. Candidate MRI factors include diffusion (DWI, DTI) and resting state functional MRI measures. The study protocol can be found here.


Team:
- Principal investigator: prof. dr. J. Hofmeijer (University of Twente and Rijnstate Hospital, The Netherlands)
- Study coordinator & PhD candidate: drs. H.M. Keijzer (Rijnstate Hospital)
Participating centers:
- Rijnstate Hospital (J. Hofmeijer)
- Radboud University Medical Center (C.W.E. Hoedemaekers)
- Maastricht University Medical Center (M.J.H. Aries)
Subsidy provider:
Rijnstate-Radboud research fund

